2017年6月24日土曜日

下の奥歯が倒れて大変!!奥歯の立て直し矯正!!by福岡天神矯正歯科ティース



福岡の矯正歯科専門医クリニック、ティース天神です。歯列矯正とは、どのような歯の動きできれいになっていくのか、スライドショートムービーでご覧ください。また、歯の矯正には、全体矯正や前歯のみの部分矯正、裏側矯正やマウスピース矯正など、ご希望に応じて、様々な種類の矯正法がありますし、費用についても安いと自負しておりますので、お気軽にご相談ください。保険や医療費控除についても併せてご相談ください。
ティース天神ユーチューブ
ティース天神お問合せ

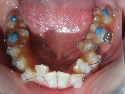
下の奥歯が内側に倒れ、咬み合わせの高さが低い。
そのままでは、奥歯に矯正装置も着けられない。
バイトターボ(青や白のレジン)を使い、咬み合わせを挙上し、
そのすきに、前歯を並べてしまう。


そのあと、徐々に奥歯の立て直し。

0 件のコメント:

コメントを投稿