矯正歯科 歯列矯正ライブラリー
口元は、歯並びで大きく変わるもの。医療の目で女性のキレイを応援します。
登録
投稿
Atom
投稿
コメント
Atom
コメント
2017年5月5日金曜日
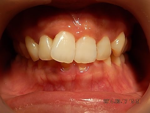
上の歯で下の歯が見えない!!過蓋咬合の矯正by福岡天神矯正歯科ティース
過蓋咬合では、最初上の歯で下の
装置がつけられません。
まず上の歯列をある程度動かしてか
ら、下の歯に装置を付けていきます
これでもダメな場合にはバイトターボか、
マウスピースによる調整を必要とします。
0 件のコメント:
コメントを投稿
次の投稿
前の投稿
ホーム
登録:
コメントの投稿 (Atom)
0 件のコメント:
コメントを投稿