矯正歯科 歯列矯正ライブラリー
口元は、歯並びで大きく変わるもの。医療の目で女性のキレイを応援します。
登録
投稿
Atom
投稿
コメント
Atom
コメント
2017年5月1日月曜日
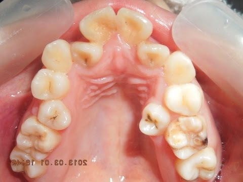
いくら美人でも、口の中は見せられない!!でこぼこフルパワー抜歯矯正 by福岡天神矯正歯科ティース
この口の中をみたら、美人を想像できない。
隠れたところに気を使おう。
ちなみに、抜歯矯正の場合、前歯を後ろに下げるとき、
犬歯の後ろの第
1
小臼歯を抜いて、
奥歯を前に持ってくるとき、
その後ろの第
2
小臼歯を抜いちゃいます。
0 件のコメント:
コメントを投稿
次の投稿
前の投稿
ホーム
登録:
コメントの投稿 (Atom)
0 件のコメント:
コメントを投稿