2017年7月28日金曜日

歯周病予防のための歯周矯正by福岡天神矯正歯科ティース



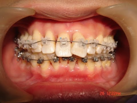
成人矯正の中の、もっと大人の矯正ということで、
歯周病治療のための矯正があります。
歯並びの問題で、清掃性が非常にわるく、
歯周病を悪化させている場合、
さらなる歯周病の進行を予防するため、
50代、60代でも矯正治療をするのです。

福岡の矯正歯科専門医クリニック、ティース天神です。歯列矯正とは、どのような歯の動きできれいになっていくのか、スライドショートムービーでご覧ください。また、歯の矯正には、全体矯正や前歯のみの部分矯正、裏側矯正やマウスピース矯正など、ご希望に応じて、様々な種類の矯正法がありますし、費用についても安いと自負しておりますので、お気軽にご相談ください。保険や医療費控除についても併せてご相談ください。
ティース天神ユーチューブ
ティース天神お問合せ


0 件のコメント:

コメントを投稿