矯正歯科 歯列矯正ライブラリー
口元は、歯並びで大きく変わるもの。医療の目で女性のキレイを応援します。
登録
投稿
Atom
投稿
コメント
Atom
コメント
2017年9月3日日曜日
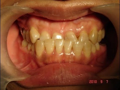
矯正ライブラリー 出っ歯Chart No.4449
4449受け口50歳過ぎてからの矯正
0 件のコメント:
コメントを投稿
次の投稿
前の投稿
ホーム
登録:
コメントの投稿 (Atom)
0 件のコメント:
コメントを投稿