矯正歯科 歯列矯正ライブラリー
口元は、歯並びで大きく変わるもの。医療の目で女性のキレイを応援します。
登録
投稿
Atom
投稿
コメント
Atom
コメント
2017年8月16日水曜日
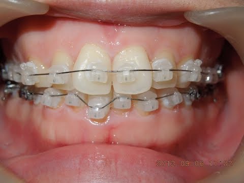
矯正ライブラリー でこぼこ Chart No.5195
0 件のコメント:
コメントを投稿
次の投稿
前の投稿
ホーム
登録:
コメントの投稿 (Atom)
0 件のコメント:
コメントを投稿